
뇌종양이란?
뇌종양은 뇌에서 자라는 비정상적인 세포 덩어리입니다. 뇌는 신체의 모든 부분과 기능을 제어하고 생각을 생성합니다. 위치에 따라 뇌의 종양이 이러한 기능에 영향을 줄 수 있습니다.
세포가 비정상적으로 자라면 종양이라고 하는 덩어리를 형성할 수 있습니다. 종양은 양성 또는 악성일 수 있습니다. 양성 종양은 천천히 자라며 한 곳에 머물러 있습니다. 신체의 다른 부위로 퍼질 가능성은 거의 없습니다. 양성 종양은암이 아닙니다.
그러나 양성 뇌종양은 그 자리에 있고 뇌나 주변 구조를 누르는 것만으로도 손상을 일으킬 수 있습니다. 이것은 생명을 위협하거나 신체의 다른 부분에 영향을 줄 수 있으며 긴급 치료가 필요할 수 있습니다. 악성 종양은 암입니다. 뇌의 다른 영역이나 신체로 퍼질 수 있습니다. 정의에 따르면 악성 종양은 양성 종양보다 더 공격적입니다.

뇌종양 종류 및 유형
뇌종양은 '원발성' 또는 '이차성'일 수 있습니다. 원발성 뇌종양은 뇌에서 시작된 종양입니다. 이차성 뇌종양은 신체의 다른 곳에서 뇌로 퍼졌거나 전이된 암입니다. 뇌종양에는 여러 유형이 있습니다. 2016년 세계보건기구(WHO)는 모든 유형의 뇌 및 척수 종양을 공식적으로 재분류했습니다. 현재 다양한 유형의 세포에 영향을 미치는 뇌 및 척수 종양의 유형이 120가지가 넘습니다.
원발성 뇌종양
뇌종양은 일반적으로 시작된 세포 유형에 따라 이름이 지정됩니다. 일부 일반적인 유형의 원발성 뇌종양은 신경교세포에서 시작하는 신경교종(성상세포종 및 교모세포종 포함), 수막에서 시작하는 수막종 및 소뇌에서 시작되는 수모세포종입니다.
이차성 뇌종양
대부분의 암은 뇌로 퍼져 이차 뇌종양을 형성할 수 있습니다. 가장 일반적으로 뇌로 퍼진 암의 유형에는 흑색종, 장암, 유방암, 신장암 및 폐암이 있습니다.
청각 신경종 또는 전정 신경초종
이러한 유형의 암은 신경을 보호하는 외피에 형성됩니다. 종종 청력과 관련된 신경에 영향을 미칩니다.
척색종
이 양성 종양은 척추나 두개골의 기저부 또는 뇌하수체 근처에 형성될 수 있습니다. 그러나 악성 연골육종이 될 수 있습니다.
중추신경계 림프종
이것은 림프절의 면역 세포에 영향을 미치는 매우 공격적인 유형의 암입니다. 60~80세의 사람들에게 가장 흔하지만 젊은 성인들에게 더 흔해지고 있습니다.
두개인두종
이 종양은 시신경 근처, 뇌 기저부 및 뇌하수체 근처에서 발생합니다. 그들은 뇌하수체의 세포에서 발생합니다.
생식세포종양
이들은 주로 11-30세 사이의 사람들에게서 생식 세포에서 발생합니다. 양성 또는 악성일 수 있습니다.
신경교종
신경교종은 뇌의 지지 조직에서 시작되는 종양입니다. 이들은 성상교세포, 뇌실막 세포 및 희돌기교세포과 같은 세 가지 다른 유형의 세포에 영향을 미칩니다. 그들은 뇌와 신경계의 여러 위치에서 발생할 수 있습니다.
혈관종
이들은 피부 또는 내부 장기의 혈관이 과도하게 성장한 것입니다. 뇌에는 두 가지 주요 유형이 있습니다. 혈관모세포종은 천천히 자라는 양성 종양입니다. 혈관주위세포종은 뇌의 막인 수막에서 발생하며 폐와 같은 먼 장기로 퍼질 수 있습니다.
지방종
이들은 지방 조직에서 자라는 덩어리입니다. 그들은 양성이며 매우 드물게 증상이나 건강 문제를 일으키지 않습니다.
수모세포종
이것은 어린이에게 더 일반적입니다. 수모세포종은 배아가 발생하는 초기에 배아 세포에서 발생합니다. 그들은 항상 뒤쪽에 있는 뇌의 아래쪽 부분에서 발달합니다. 일반적으로 퍼지지만 드물게 뇌와 척수 외부로 퍼집니다.
수막종
이들은 보통 압력을 가하여 뇌와 척수를 덮는 보호층에서 안쪽으로 발달합니다. 그들은 뇌에서 시작되는 모든 종양의 약 1/3을 차지합니다. 대부분은 비암성입니다.
신경섬유종
이것은 신경 섬유의 종양입니다. 이들은 신경섬유종증이라고 하는 유전적 상태로 인해 발생합니다.
신경 및 혼합 신경교 종양
이들은 신경절 세포라고 하는 신경 세포 그룹에서 발생합니다. 그들은 양성이며 천천히 자랍니다.
송과체 및 뇌하수체 종양
이들은 호르몬 분비에 필수적인 역할을 하는 땀샘에서 발생합니다.
원시 신경외배엽 종양
이들은 현미경으로 보면 수모세포종과 매우 유사하지만 뇌의 다른 부분에서 자랍니다. 그들은 드물지만 매우 악성이며 퍼지는 경향이 있습니다.

뇌종양 원인
뇌종양의 원인은 알려져 있지 않습니다. 때때로 사람들은 유전적 요인으로 인해 또는 머리에 매우 높은 선량의 방사선에 노출되었기 때문에 뇌종양이 발생합니다.
휴대폰과 뇌종양 사이에는 명확한 연관성이 없습니다. 연구자들은 특정 유전자가 중요한 위험인자인지 여부를 포함하여 뇌종양의 잠재적 원인을 계속 조사하고 있습니다.
HIV 말기 환자와 같이 면역 체계가 약한 사람들 도 뇌종양 위험이 증가할 수 있습니다.

뇌종양 증상
뇌종양은 종양의 위치, 크기 및 종양의 유형에 따라 다양한 증상을 보입니다. 일부 증상은 종양 관리에 사용되는 치료법으로 인해 발생할 수도 있습니다. 느리게 자라는 뇌종양은 처음에는 증상이 없을 수 있습니다.
많은 뇌종양 증상 및 뇌암 증상은 다른 질병 및 상태의 증상과 유사합니다. 일반적인 뇌종양 증상의 예로는, 종종 뇌종양의 첫 번째 증상인 두통, 발작, 균형과 조정 문제, 신체의 한쪽 또는 일부의 약화, 메스꺼움과 구토, 착란,
집중력 상실, 시력 상실, 후각 또는 미각 장애, 졸음과 피로, 현기증 또는 의식 상실, 성격 및 행동 방식의 변화, 생각하는 방식의 변화, 내분비 기능 장애(호르몬/선 변화) 등이 있습니다. 기억력 문제, 말하거나 단어를 기억하는 데 어려움과 같은 다른 징후가 나타날 수 있습니다.
증상이 모두 똑같지는 않지만, 일부의 경우 초기 증상으로 행동의 변화, 발작, 기억상실, 두통 등이 발생합니다.

뇌종양 진단
뇌종양이 있는 많은 사람들은 기분이 좋지 않거나 증상에 대해 걱정하기 때문에 의사를 찾습니다. 의사가 뇌 종양을 의심하여 검사를 실시하고 결과가 종양을 확인하면 의사가 추가 검사가 필요한지 조언하고 치료 옵션에 대해 논의할 것입니다.
신체검사
뇌종양의 가능성을 조사하기 위해 의사는 반사 신경을 확인, 팔과 다리 근육의 힘 테스트, 균형과 조정을 확인하기 위해 서서 걷기, 바늘로 찌르는 듯한 느낌이 드는지 테스트, 뇌와 기억 운동, 검안경으로 눈과 안구 운동 검사 등과 같은 신체 검사를 할 수 있습니다. 이 검사에서 종양이 있을 수 있다고 제안하거나 의사가 증상의 원인으로 종양을 배제하기를 원하는 경우 검사가 제안될 수 있습니다.
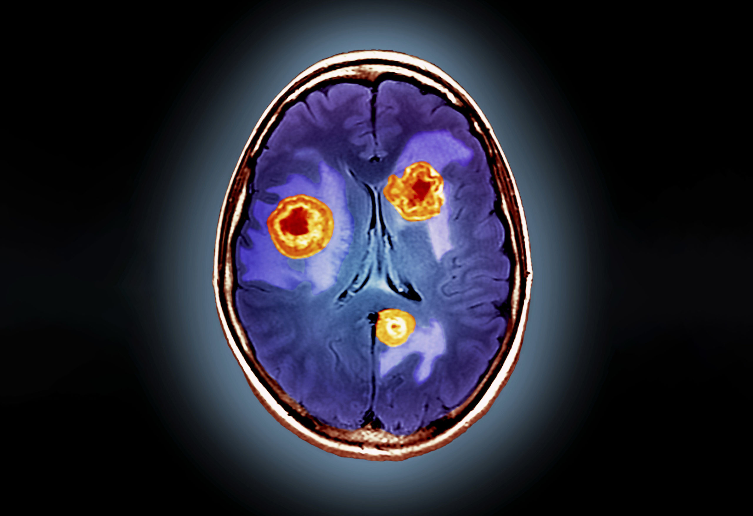
영상 및 진단 검사
뇌종양 진단을 위한 검사에는 CT, MRI 검사, PET검사, 요추천자, 생검 등이 실시될 수 있습니다. CT촬영은 X선 빔을 사용하여 신체 내부의 여러 사진을 찍습니다. MRI 스캔은 자기와 전파를 사용하여 신체의 상세한 단면 사진을 생성합니다. PET(양전자방출단층촬영)스캔은 소량의 방사성 용액을 주입해야 합니다. 암세포는 다른 세포보다 용액을 더 빨리 흡수하므로 이 스캔에서 더 밝게 나타납니다. 요추천자(척수 천자)는 뇌척수액(뇌와 척수 주변의 체액) 샘플을 수집합니다. 외과적 생검은 검사를 위해 마취 하에 종양 조직의 작은 조각을 제거하는 경우입니다.
호르몬 수치와 전반적인 건강을 확인하기 위해 혈액 검사를 받을 수도 있습니다. 이러한 검사 중 일부는 종양이 얼마나 심각한지 또는 얼마나 빨리 자라는지 보여주기 위해 사용되기도 합니다. 이것을 종양의 '등급'이라고 합니다. 이러한 테스트에는 특히 종양이 뇌 깊숙이 있는 경우 스캔되는 영역으로의 혈액 공급을 검사하기 위해 대뇌 혈관 조영술 등이 포함될 수 있습니다.

뇌종양 치료
뇌종양 진단을 받으면 의사가 치료 옵션에 대해 논의할 것입니다. 치료는 종양을 완전히 제거하거나 종양의 성장을 늦추거나 종양을 축소하여 증상을 완화하는 것을 목표로 합니다.
치료는 일반적으로, 나이, 건강 및 병력, 종양의 유형, 위치 및 크기, 종양이 얼마나 빨리 성장하는지, 그리고 그것이 퍼지거나 재발할 가능성, 증상, 다른 치료법에 어떻게 반응할 수 있는지 등을 전반적으로 고려하여 결정됩니다. 뇌종양의 주요 치료법에는 수술, 방사선 요법, 화학요법, 증상을 조절하는 약물 등이 있습니다.
수술
뇌종양 수술은 가능한 한 많은 종양, 이상적으로는 전체 종양을 제거하는 동시에 뇌의 건강한 부분에 대한 손상을 최소화하는 것을 목표로 합니다. 때로는 종양이 제거되지 않거나 일부가 남아있을 수 있습니다. 이는 뇌의 중요한 영역에 너무 가깝기 때문입니다. 두뇌에 압력을 완화하거나, 종양의 크기를 줄여 화학 요법이나 방사선 요법으로 치료하기 쉽도록 하는 등과 같은 경우에도 수술이 필요할 수 있습니다.
방사선 요법
방사선 요법에는 암을 파괴하거나 성장을 지연시키기 위해 엑스레이로 치료하는 것을 포함합니다. 방사선 요법은 종종 수술 후에 시행됩니다. 암 주변의 건강한 조직이 보호될 수 있도록 세심하게 겨냥합니다. 때때로 방사선 요법은 화학 요법과 결합됩니다.
화학 요법
화학 요법은 약물을 사용하여 암세포를 죽이고 건강한 세포에는 가능한 한 손상을 주지 않습니다. 뇌암에 대한 화학요법 약물은 일반적으로 삼키거나 정맥에 주입하는 점적액을 통해 투여됩니다(정맥 주사). 암세포와 같이 빠르게 성장하는 세포를 죽이는 혈류를 통해 이동합니다. 화학 요법은 수술 후 남아 있는 세포를 죽이거나 종양의 성장을 늦추거나 증상을 최소화하는 데 사용할 수 있습니다. 이것은 종종 수술 후에 주어지며 방사선 요법과 함께 주어질 수 있습니다.
증상 조절 약물
두통이나 발작이 있는 경우 이를 관리하기 위해 항경련제를 투여할 수 있습니다. 때때로 뇌종양 주변의 염증을 줄이기 위해 스테로이드를 투여합니다.
완화 치료
완화치료는 암을 치료하려는 노력 없이 증상을 관리하고 가능한 한 편안하게 하는 것을 목표로 하는 치료에 부여된 이름입니다. 완화 치료는 종종 암이 진행된 단계에 도달했을 때 제공되지만 질병의 다른 단계에서도 사용할 수 있습니다.
뇌종양 치료로 인한 증상
수술, 방사선, 화학요법 및 기타 치료법은 종양의 영향을 줄이기 위해 작용하는 동안 자체적으로 증상을 유발할 수 있습니다. 예를 들어, 방사선 요법은 메스꺼움과 두통과 같은 부작용이 있고 화학 요법은 구토와 피로를 포함한 부작용이 있습니다.

자, 이렇게 오늘은 뇌종양에 대해 알아봤습니다.
오늘도 이 정보가 많은 도움이 되었길 바라며,
저는 이만 글을 마치도록 하겠습니다.
끝까지 읽어주셔서 감사합니다.
'건강 정보 > 질병 백과' 카테고리의 다른 글
| 수두 증상 원인 치료방법 등 모든 것 (0) | 2022.09.07 |
|---|---|
| 심근병증 증상 원인 치료방법 등 모든 것 (0) | 2022.09.06 |
| 객혈 원인 증상 치료방법 등 모든 것 (0) | 2022.09.04 |
| 낭종 증상 원인 치료방법 등 모든 것 (0) | 2022.09.03 |
| 묘성 증후군(고양이 울음 증후군) 증상 원인 치료방법 등 모든 것 (0) | 2022.09.02 |